愿意为你冒险的医生什么样

命悬一线 我不放手  作者:薄世宁

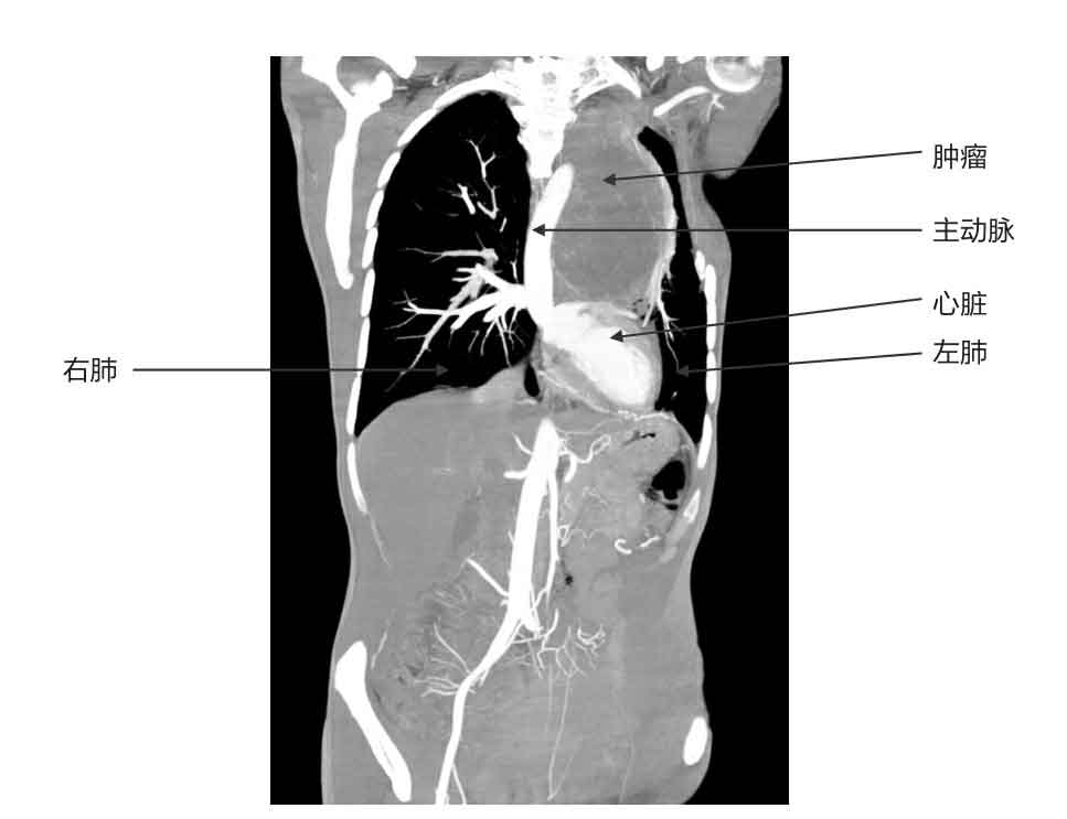
这位患者胸腔里的肿瘤太大了,它向后侵袭了八节脊椎,向前压迫了患者的气管、肺、肺动脉、肺静脉、心包。更可怕的是,肿瘤组织把主动脉包裹住了。

“要想切干净,就要先把瘤子从你的主动脉表面剥下来,万一在这个剥离的过程中动脉破了,那出血像大河决了堤。

“需要切除肿瘤侵犯的全部脊椎,如果切的时候伤了脊髓,人马上就瘫了。手术太大了,很可能没等瘤子切下来人先扛不住了,或者术后感染、心肺衰竭、在ICU脱不了机,最后落得人财两空。”骨科韦大夫对眼巴巴地看着他的患者说,“风险太大,你先回去吧,我得和团队商量一下。”

…………

命悬一线我不放手
患者的影像学资料

巨大的肿瘤

我是在韦大夫组织的多学科会诊上见到的这位患者。那天参加会诊的有近十个科的专家:骨科、麻醉科、胸外科、ICU、血管介入科、心脏外科、康复科、成形科、药剂科……

我对这位患者印象非常深刻,因为他太特殊了,我见过的几乎所有患者要么坐着、要么躺着,而他是蹲在病床上。他头发很长很乱,胡子拉碴的,眼睛因为身体消瘦而显得很大,眼里满是痛苦。因为他蹲着,我看不出他的身高,但从整体上看,他比实际年龄要苍老许多,那年他只有36岁,但看上去更像50多岁的人。

他蜷缩着蹲在病床上,像一只踩进泥坑、被暴雨淋透了的羸弱的猫。

他胸腔里的肿瘤长得像哈密瓜那么大,压迫了他的气管、肺、心脏,所以他只能蹲着,这种体位可以让肿瘤对气管、肺的压迫减轻一些,他还能凑合呼吸。如果他躺下来或者趴着,巨大的肿瘤会压迫得他喘不过来气。

我看了一眼患者床头的心电监护仪,心率超过了120次/分、呼吸32次/分、血压145/96mmHg,这些指标出现异常是由呼吸困难导致的。我站在离他三四米的地方,不用听诊器就能清晰地听到“嗖嗖嗖”高调的呼吸音,这是气管受压、气流从狭窄的气管缝隙里钻过来时,气管壁震动发出的声响。气管受压是医生最担心的问题,肿瘤组织还在不停生长,随时可能把气管完全压迫得塌陷了,接下来就是窒息……

为了探讨这个病例的救治以及医生如何看待风险问题,我在韦大夫的办公室,对他做了三个多小时的访谈。我和他认识二十年了,年轻的时候我们常在一起聊天。他是同龄人中的佼佼者,他的职业选择受家庭影响:父母都是医生。他本科、硕士、博士都在北京大学医学部,毕业后分在了骨科——我们医院最好的科室之一。韦大夫是个讲究人,一米八几的大个儿,人帅气,衬衣熨烫得没有一个褶。很多人乍一看会觉得他孤傲不合群,其实不然。他不仅技术好,还很讲情谊,很多患者慕名而来。

“病人第一次来我的门诊是自己走着来的,当时还能走200米。14天后再来的时候走不了了,蹲在轮椅上被人从老家推着来的。”韦大夫对我说。

“为什么我没有立刻答应给他手术?我做过那么多骨肿瘤手术,我不怕手术大,可他的我一个人做不了,来得太晚了,肿瘤太大了。”韦大夫说。

他一边说话一边打开了电脑,找出患者的影像学资料。他对着电脑上的CT、核磁共振图像,给我一点点地讲。

“你看,要想把肿瘤切下来,先要从主动脉上把包着的肿瘤组织剥下来,还要从心脏、肺的表面把肿瘤分开。如果这一步能顺利完成,接下来就要完整地切掉八节被肿瘤组织侵犯的脊椎。切掉这么多脊椎,病人以后还怎么站啊?所以还要给他换上一大段3D打印的人工椎体。肿瘤这么大,周围组织全侵犯了,为了切干净,切掉肿瘤的同时还要切除肿瘤周围大量的肌肉、肋骨、软组织,这些缺损的组织怎么补?手术太难了!

“所以我对病人说,你先回去吧。”

就他的诊治情况,我也找这位患者做过一次访谈。

他36岁,第一次被确诊肿瘤是在十年前。这十年来他先后在其他地方做过两次大手术。但这次复发后,没有医生再答应给他做手术了。这一年多他去过国内很多大医院,所有的专家都拒绝了他。

“我也知道风险太大,”他说,“我走进门诊,走进医生办公室的时候,都是满怀希望的,希望这个医生能给我带来好消息,能给我一个机会。但每个医生把片子举起来一看,我不用等他说话,看表情我就知道了,都说再去别的医院看看吧。或者说太晚了,回去吃药保守(治疗)吧。保守不就是放弃吗?”

“直到我遇到了韦大夫。”他说。

风险

如果一味地担忧牺牲,我们就永远不可能在高空飞行,冒险精神是人类最优秀的特质之一。在今天,很多媒体高调地赞扬医生的冒险。在很多被称为“创造生命奇迹”的报道中,医生往往被塑造成艺高人胆大、勇闯生命禁区、超越技术局限的形象。“为了病人”“为了生命”,“不惜一切代价”“出其不意”“巧夺天工”,这些溢美之词往往会让人热血沸腾、慷慨激昂。

可我们冷静下来想一想,所谓冒险,冒的谁的险?医生的、患者的,还是社会保险支付体系的?患者是拿命、拿钱在博,那医生呢?医患在风险面前是否真的共担了风险?

在临床实践中,冒险的特殊之处在于我们是在真人身上冒险,有未知、有不确定性。一旦成功,冒险的患者将会获益,复杂病例的成功救治甚至可以为这类病例的治疗带来突破,给未来所有同类患者的治疗提供典范。但一旦失败,患者就会损失健康甚至性命,而且预期利益越大,一旦失败,患者的牺牲也就越大。悲剧与凯旋同行。

在现代医疗制度下,对任何一项有风险的操作,医生都会对患者进行充分的风险告知,对于极高风险的手术,还需要去主管部门在公证下进行告知。毫无疑问,这么做可以充分保护患者的知情权、自主决策权,也有助于医患共同决策,减少纠纷。这么做既是保护患者,同时也是在保护医生,只有当患者充分了解并愿意承担风险时,医生才敢冒险,患者才能获救,医学才能进步。

但问题来了:是不是患者知晓风险、愿意承担风险,医生就敢于冒险了?患者和医生双方各自怎么看待医疗过程中的风险?

先看患者怎么说。

我问这个患者:“手术风险这么大,一丝一毫的差池都不行,出问题轻则是瘫,稍有不慎就是死亡,你怕不怕?”

“不怕。”他回答得没有丝毫犹豫。

说实话,对他的这个回答我一点都不意外。病情轻的患者才会担忧风险,对走投无路的患者,当死神一步一步走近、疾病的折磨让他痛不欲生时,他是不会因为担心手术风险而有任何犹豫的。

他继续说:“能手术说明我还有机会,可所有专家都拒绝了我,那种感受和判了死刑一样。我越来越憋气、疼痛,没办法睡觉。一两天不睡还行,一个月一个月地睡不了,身体和心理都垮了。

“后来我走不了路了,我马上要死了,你说我还怕风险吗?”

那医生又是如何看待风险的?还有,这个患者的手术风险到底有多大?

就这个问题,我问了韦大夫。

“很难用一个确切数字来衡量。简单手术可以从临床研究的大样本中得出数据,但这个病人(的情况)太复杂了,全世界类似的手术也没多少,没有一个确切的数字。骨科领域也有很多风险评估工具,但对他都不适用。”韦大夫说。

“病人做的手术越大、手术持续时间越长,风险越大。这个病人的手术做下来至少需要24小时,你说风险多大?”

韦大夫说的没错,有研究认为,某一种骨科大手术手术时间每增加15分钟,患者发生肺炎、尿路感染和手术部位感染的风险分别增加16%、17%和24%,手术时间每延长30分钟,肺栓塞风险增加38%。而这位患者手术时长至少需要24小时,术中要切除被肿瘤侵犯的大量组织,手术风险已经很难用数字确切描述了,更别说万一术中发生动脉破裂,术后发生截瘫、心衰、呼吸衰竭。

“还有更关键的,很多时候说具体数字意义不大。比方说一台死亡风险5%的手术和一台死亡风险50%的手术,哪种风险我们不能接受?乍一听,肯定是50%的这台手术啊。

“未必。预后较好的甲状腺癌手术,假设有5%的死亡风险,医生、患者都不能接受;但抢救脑干出血、脑疝患者的手术,50%的死亡风险似乎是可以接受的。

“所以说,评价风险要考虑到病人疾病的严重程度,考虑疾病给病人生命带来的威胁程度。”

14天

“具体到这个病例,我还要和咱们团队好好商量,仔细地评估风险。这个手术我一个人做不了,我得征求大家的意见。”韦大夫继续对我说,“所以,在病人第一次来门诊的时候,我对他说:‘你走吧,14天后,如果你还坚持,如果我们团队认为能给你手术,我会安排助理给你打电话。’”

“为什么是14天?”我问他。

“14天足够他认真思考了,思考风险、费用,还有万一(手术)失败(怎么办)……他必须得思考、思考、再思考。但是,也不能让他等太久,太久了我怕他身体等不起了。更关键的是,14天也够咱们好好会诊,规划手术细节了。”韦大夫说。

“14天,你除了等待,还做了什么?”我问患者。

“我争取了家里人的支持。”他说。

“顺利吗?”我问。

“非常顺利。”他说这句话的时候,脸上带着幸福的微笑,“我们开了个家庭会,当我表达我想手术的时候,所有人都是支持的,家庭会开了不到半小时。他们看到疾病给我带来的痛苦。他们都说,与其这样活着,不如放手一搏。我听了这些之后,我的内心更强大了。我最大的后盾是这个大家庭给我的吧。”

“手术费不便宜,你是怎么凑够的?”我又问他。

完成这个患者这台复杂的大手术,即便在最顺利、不出一点并发症的情况下,花费也是巨大的:既要3D打印一段长长的人工椎体,又要在主动脉里置入覆膜支架把动脉支撑起来;手术过程不仅复杂,更涉及多个科室,且术后患者要在ICU经历较长时间的恢复期才可能顺利脱离呼吸机并拔除气管插管;术中、术后要用到大量的悬浮红细胞、新鲜血浆、纤维蛋白原、凝血因子……这些花费不是一个普通家庭能够承受的,何况他十年来一直在求医的路上,基本上没什么经济来源。

“我爸、我的三个哥哥和一个姐姐,还有我的前岳父,每个人都给我凑钱。这钱我一辈子也还不起了。他们不放弃我,我触动很大。”他说。

“我筹好了手术的钱,可我始终等不到韦教授的通知,第一天没消息,第二天还是没消息。第三天,第四天……等到第十四天的时候,还是没有电话来。我快崩溃了,我想是不是韦教授也不愿意给我手术了?一整天我都拿着手机,等着有北京的电话打过来。

“傍晚的时候,电话来了。(我)控制不住地喜悦,这一年多,我被拒绝怕了。

“出发前,我给前妻发微信,我说:‘我要去北京了,你愿意不愿意陪我闯一次?’

“她没有给我回(信息)。

“我知道她不会去的,我们早就离婚了。看到我蹲在床上那个样,一般人躲都来不及。我没钱又没健康,做手术是死是活也不知道。即便活下来,未来能恢复成啥样也不知道。她不跟我一起去,我理解。

“可那天在车站,我看到了她。(我对她说)‘还送什么送?回家好好带孩子,把孩子培养成人。’

“她说:‘我陪你去。’

“她这个人没什么文化,和我一样,但有情有义。她说:‘无论如何你还是我孩子的父亲,我不想让我的孩子从小就没了父爱。’一年多,我各地求医,受了那么多苦,我没哭过。那一刻,整个站台的人都在看着我在那儿号啕大哭。

“我想,人活一辈子最怕什么?怕死?不是。

“最怕家里人放弃你。如果没有家庭及亲人的支持,是难以支撑的。如果连家人都不支持,我觉得就没有生存下去的理由了。他们在那样的情况下仍然支持我,我还怕什么?”

“就是手术失败,我也是幸福地离开的。”他说。

“14天,你做了什么?”同样的问题,我也问了韦大夫。

“病人不怕死了,并不意味着风险低了。”他说。

我非常同意这个观点。医生让患者签署知情同意书时,通常会充分告知患者目前的病情、拟进行的治疗的性质和特征、预期结果、有没有可行的替代治疗方式、如果不治疗会怎么样,还有就是治疗中可能存在的严重风险、并发症等。这个过程旨在让患者更理性地权衡治疗可能带来的利益和风险,理性地选择治疗。

但在我看来,濒临死亡的患者是不考虑风险的,很多患者会把任何可能获益的治疗看成救命稻草,“死马当活马医”,他们很容易孤注一掷。这时,医生如果盲目激进、藐视风险,反而会将患者、将医生自己置于更大的风险之下。“医疗的核心存在着一个悖论:它发挥的作用非常好,但又永远都不够好。恰恰是因为医生已经获得了巨大的成功,所以一旦医生失败,人们就会质疑到底出了什么问题。”[阿图·葛文德. 医生的精进:从仁心仁术到追求卓越[M]. 李璐译. 杭州:浙江人民出版社,2015.]

“所以我必须想方设法地降低风险。”韦大夫说,“具体怎么做?咱们有MDT,用MDT对抗复杂病例的风险。”

MDT,全称为多学科联合诊治(Multi-Disciplinary Treatment),这是现代医院制度下的一种新的工作模式。简言之,MDT就是遇到复杂问题时一个人解决不了,大家分工协作一起上。MDT把一群来自不同专业的医生聚在一起,通过高效协作给复杂病例提供最佳诊疗。

“我把病人的资料发给了咱们MDT团队,最开始好几个人都说做不了,他们劝我:放弃吧,别惹麻烦。但是这十四天里,我约着团队成员开了几次会,每次都是几个小时,有时候在群里讨论到凌晨。”

在我看来,现代化的医院之所以能够快速发展,能够给患者解决越来越多的问题,一个重要原因即是高效的分工和协作。医学快速发展,其体量已经远超一个医生倾其一生能掌握的知识的极限了。分工让每个医生都在各自的专业领域深耕,而在遇到复杂问题时,不同的专业又能协作起来,这远比找一个无所不知、无所不能的“神医”更具有可行性。

就像这个患者的MDT。韦大夫是骨科大夫,他既是MDT的发起人和组织者,还要负责切除被肿瘤侵犯的脊椎,再换上3D打印的人工椎体;血管介入科王大夫负责把给肿瘤组织供血的血管栓塞住,肿瘤组织血供减少,手术切除的时候出血就会大大减少,他还要在患者的主动脉里放上覆膜支架,把主动脉从内部加固,这样从表面剥离肿瘤组织的时候损伤血管,导致血管破裂大出血的风险会大大下降;胸外科王主任负责从肺表面、心外科吴大夫负责从主动脉和心包表面剥离肿瘤;成形科杨大夫负责给巨大的创面做皮瓣覆盖伤口。所有这些“分支”手术放在任何一家医院都算技术门槛很高的手术,这个患者的治疗还要涉及气管插管、术后康复、ICU监护治疗等等。如果能把所有这些“分支”成功地整合到一起,不出严重并发症,我们就有很大的胜算拯救这个患者了,这就是MDT强大的功能所在。

“但组织一个高效的MDT不容易,你的经验是什么?”我问韦大夫。

“其实也不能算经验,我认为MDT要想高效必须满足三点。

“第一,做对事。这点非常重要。这个病人的手术该不该做?当然该做了,他的肿瘤病理检查是低度恶性梭形细胞肿瘤,这种肿瘤虽是恶性,但恶性程度没那么高,如果能完整地切下来,病人可以明确获益,还可以生存很久。更关键的是,他没有别的替代方案了,他吃药没效,肿瘤进展特别快,再不做很快就会瘫痪,还会压迫气管让他窒息死亡。所以,这个手术该做,这不是冒进。

“第二,选对人。团队成员价值观要一致,每个人必须都是愿意努力、不计较、不求名利的人,还都得是各个专业的高手,都能给病人解决实际问题。更关键的,要有团队精神,有些MDT团队成员很难达成一致意见,那就很难做成事。

“第三,互相信任。医生是高度专业自信的群体,做手术时我只信我自己,这对于病人安全有好处。但当遇到复杂问题的时候,必须学会相信别人,在别人的专业领域,即便他再普通也比你强。互相信任,MDT才能运转,一旦出现怀疑,瞬间分崩离析。”

我很认可韦大夫说的做对事、选对人,还有互相信任的观点。但除此之外,我认为MDT能够成功还要看组织者:组织者要有人格魅力和协调能力,大家愿意在他的组织下冒险,这点很重要。人和人之间的协作不能完全靠制度,有时候需要有那么一点点情义,尤其是遇到疑难问题时。

“到第十四天的时候,详细方案制定好了。”韦大夫对我说起MDT为患者制定的手术方案时,面部的表情像是一位将军在布局一场会战。

“在正式手术前几天,先让血管介入科王大夫把给肿瘤组织供血的血管栓塞住,再在动脉里放上支架,这是第一步;第二步,我上台去切肿瘤侵犯的脊柱,但这时我还不能完全切下来,因为瘤子和脊柱长在一起,如果把脊柱完全切下来,巨大的肿瘤就会在重力作用下压迫心脏,一下子病人就完了;第三步,吴大夫、王主任一起上台,一起剥离主动脉、心脏和肺表面的肿瘤组织;第四步,我再上台,完全切掉脊柱,换上3D打印的人工椎体;第五步,杨大夫上台,做皮瓣,覆盖伤口。

“这个病人的手术方案基本确定,是时候让病人来了。第十四天,我让院总(住院总医师)给病人打电话:你如果还想做,你就来吧。

“病人回来了,这次走不了路了,蹲在轮椅上,被人推进诊室的。肿瘤发展太快了,我的判断是对的,肿瘤已经把他的心脏、肺全压住了。

“留给我们的时间不多了。”

艰难的手术

这是一台艰难的手术,在我二十来年的工作中遇到的所有的疑难手术中,它都算是最复杂、参与科室最多、持续时间最长的手术之一。

根据韦大夫的讲述、患者的麻醉记录单、手术记录等关键资料,我把这台手术的一些细节描述出来,呈现给读者。

那天早上8点30分,手术开始。

“嘀嘀嘀,嘀嘀嘀”,监护仪随着患者心跳发出规整而有节律的声响。韦大夫走进来,对躺在手术台上的患者说:“咱们明天见!”

乳白色的麻醉药物缓慢地由患者的颈内静脉导管进入他的血液,然后流向心房、心室……在麻醉药物的作用下,患者闭上了眼睛。

手术刚开始,手术团队就遇到了困难。手术需要放置双腔气管插管,这种气管插管比我们常用的单腔插管管径明显要粗,但巨大的肿瘤压迫了患者的气管,气道太狭窄了,再加上实体肿瘤改变了声音传导,无论是应用可视化技术还是传统的听诊技术,都很难准确判断气管插管位置,双腔气管插管一直插不到位。

麻醉科徐主任领着三四个医生操作了得有三个小时,气管插管才顺利到位。

“这三个小时我就(在)边上等,我也不催。”韦大夫说,“我相信咱们的麻醉科,如果他们都插不进去,恐怕也就没人能插进去了。”

上午11点多,韦大夫上台,他快速从第7颈椎到胸11椎体水平,做了长长的一道切口,然后剥离右侧椎旁肌,显露脊椎后,在右侧胸1、胸8~10的椎弓根上逐一打上螺钉……

韦大夫从年轻的时候就痴迷复杂手术,他对我说过,舒适区是一个医生的牢笼。如果凭借大医院的优势,那在当今的中国,很多大医院的强势学科的医生可能永远不会愁患者来源,他完全可以只做风险小的手术,这不仅不会影响他的晋级、收入,还会让他获得一个“手术成功率高”的好名声。但是,只有勇于为患者冒险的医生,才能为复杂疾病患者切切实实地解决问题,并不断地获得职业的成就感、价值感。

“这个活儿太大了。我从上午11点多一直做到晚上9点多。”韦大夫说。

晚上10点左右,胸外科王主任、心外科吴大夫同时上台,他们小心翼翼地从主动脉表面剥离肿瘤组织,剥离肿瘤侵犯肺、心包的部分。时间一分一秒地过去了。几天前血管介入科的王大夫就在患者的主动脉里放了支架,也把给肿瘤供血的血管栓塞住了,这给这台手术的顺利完成奠定了基础。

当他们终于把肿瘤从主动脉表面、肺、心包表面完整地剥下来的时候,所有人长出了一口气。这标志着最危险的一步完成了。

这时,韦大夫再次上台,开始小心翼翼地切除椎体。这是整台手术中第二个风险极高的步骤,稍有不慎即容易造成患者截瘫。二十多年日复一日的手术,早已让韦大夫的手训练得快速而稳健。

终于,椎体切除完成。

“耶!”手术室气氛瞬间轻松了。接下来,韦大夫把3D打印的人工椎体植入到患者体内,这段人工椎体将替换患者被切除的那八节被肿瘤侵袭的椎体,起到支撑、保护脊髓的作用。3D打印椎体形状更符合患者的个体需求,而且具有良好的组织相容性,植入人体后可以和患者的骨骼完美地整合在一起,让这段人工的“假”椎体和患者自身的组织融为一体,成为“一家人”。

临床医学一旦与革命性的技术相结合,整个治疗理念都将发生颠覆性的变化,并给传统技术下无法拯救的生命带来希望。

到此,手术关键的十八个小时已顺利度过,此时基本上可以断定手术成功。

第二天凌晨2点,成形科杨大夫上台对整个手术创面、缺损进行修补、皮瓣移植。肿瘤这么大,切除了周围的七根肋骨以及大量的肌肉、皮肤。这些缺损的部位都需要皮瓣覆盖起来,他做了整整六个小时。

第二天早上8点多,整台手术结束。

此时,距离头一天手术开始已经过去大约二十四小时。我推着转运平车去手术室把患者接到了ICU。这台手术包含了那么多人的心血,我不敢有一丝懈怠。到了ICU后,我盯着患者的每个重要指标:引流液的颜色和量、心率、心肌损伤指标、感染指标、氧合状况……我谨慎而缓慢地调整他的升压药、呼吸机参数,我要确保他的生命体征不出现剧烈的波动。

“那天我醒来的时候,我还不知道我自己在哪儿。”患者在接受访谈时对我说。

“我睁开眼先看到灯,那个时候意识还是不清楚,蒙蒙眬眬的。我听到有人在叫我,我用力睁开眼,迷迷糊糊感觉到韦教授在捏我的腿,问我有没有感觉。

“我拼命点头,我嘴里插着管,我说不出来话。

“但我知道我还活着,还有感觉,我还没死!”

距离他出院半年后,我去北京郊区的一家康复医院探望他。

那天,他穿了一身深灰色的康复训练服,理了平头。他低着头,扶着带轮的助行架,一步一步地往前迈。虽然他的步态还没完全恢复正常,但走起路来很自信。他看到我后,满脸笑容。他说:“我带你去看我康复的地方。”

进了康复室,他找了一辆轮椅坐下来,然后用右手用力地揉着两条腿上的肌肉,抬腿、站立、坐下来,再抬腿、站立、坐下来……几个回合后,他一屁股坐在边上的康复床上,冲我笑了笑。他说:“你看,我能走了,但肌肉力量还得练。”

我问他:“你想过未来吗?未来什么打算?”

他想了想,说:“未来还没怎么想过,目前只想到就是尽心尽力、吃苦耐劳地做好康复,能让自己自理。能自理以后才能说有未来吧。希望一切都是在朝着好的方向发展。”

我说:“从你身上我学到了很多东西。无数人面临绝境时,都能从你的经历中学到很多。”

“没有,没有,”他说,“我只是怕我表达得不够好。对我来说成功很简单。只要能看到明天的太阳,就是成功。”

关于成功、失败,我也曾问过韦大夫,我说:“这个病例成功了,那你想过失败吗?万一失败了呢?”

我知道这个问题很尖锐,我在医院工作久了,见得太多了。绝大多数患者认可风险,认可疾病的复杂性和不确定性,认可医生冒险是为了他,这没问题。但问题是,在今天的医疗环境下,即便术前已经充分了解了风险,一旦真出了问题,还是会有极少数患者或者家属不理解,闹纠纷、闹矛盾。这会形成恶性循环,让医生越来越不敢为了患者冒险。

“这是个好问题。”韦大夫说。

“医学是个在刀尖上行走的行业,医生如果一味强调风险,医学就不会进步。医生不敢冒险,最终受损的是患者。社会对待医生冒险和失败的态度决定了医学进步的速度,社会不能宽容风险和失败,医学也不会进步。

“(这台手术)你不做,病人只能死。你做,你承担风险。你做出问题了,病人受到极大伤害。这本是两难的事。但医学进步必须有人冒险。医生、病人都要冒险。病人得认可风险,这是医生敢为你冒险的勇气;医生要想方设法地降低风险,在必要时进行团队协作,让冒险经得起论证,这是医生冒险的底气。

“冒险不是撞大运。”

给我一个为你冒险的理由

毫无疑问,这是个成功案例,但我们不要过度解读,医学存在的不确定性太大了,并不是每次冒险我们都能成功。对这个病例我更想讲的是冒险的条件,就这个问题《人民日报》也曾发文:“医疗最难的不是技术,而是给医生一个冒险的理由。”

很多人可能会说,医生冒险是因为每个人都有冒险的基因,再加上多数医生都渴望自己的技术可以不断精进,所以也会不断地挑战自我。有没有这些因素?有,但在今天,少数患者不能容忍失败的态度,以及不时发生的医患纠纷、伤医事件,使得这些因素在促进医生冒险方面的作用越来越小。

在我看来,今天依然还有那么多医生愿意为患者冒险,有三个理由。

第一,职业价值。

医生愿意冒险,一方面是这个医生自我价值的体现;另一方面是能够实现医疗技术的突破,从某种程度上说,这是其更大的价值。在医疗领域有个很令人振奋的现象:有第一种突破性技术应用于临床、第一种复杂手术得以实施、第一种协作模式可以有效解决问题,就会有越来越多的第二种、第三种……而在这一项项技术突破背后,是越来越多的患者能获救。所以,医生愿意冒险不仅可以让他个人实现自我价值,还可以让医学整个行业实现更深刻的价值。

第二,高效协作可以对抗风险。

越来越多的医院为了患者利益鼓励不同专业的医生高效协作。比如,美国顶级医疗机构,也是世界最具影响力的医疗机构之一的梅奥诊所,就一贯秉承“患者的需求是最重要的”“发展合作医学”两大价值观,不推崇医生“明星制”。梅奥诊所的创始人威廉·J.梅奥医生早在1910年就指出,“医疗智慧的协同合作和力量联盟是为患者提供服务的最好方式”[利奥纳多·L. 贝瑞,肯特·D. 赛尔曼. 向世界最好的医院学管理[M]. 张国萍译. 北京:机械工业出版社,2009.]。医学发展为一门合作的科学已成必然趋势。这个病例中的MDT,就是多专业协同合作达成力量联盟的诊疗方式,这种方式既解决了以前单兵作战无法解决的复杂问题,又提升了效率,并且最大限度地降低了风险。用高效协作对抗风险,是医生敢于为患者冒险的最大底气。

第三,很多患者值得为之冒险。

他们顽强地抗争命运,真诚地对待医生;他们饱受病痛折磨,却不放弃希望;他们与亲朋达成了紧密的爱的联结……所有这些都让医生愿意倾其所能去帮他们,和他们一起冒险。

对这个病例,我也一直在思考。这个患者说他早就不怕死亡了,可哪有不怕死的人啊?他手术那年只有36岁,那么大的手术、那么多人的心血、那么多人凑的钱、前妻的支持,以及求医一年多、苦等十四天后升起的希望,他怎能不怕风险?

韦大夫不怕风险吗?这不是他一个人的风险,也是MDT团队中那么多兄弟姐妹要承担的风险。而这台手术更大的风险是,背靠那么大的医院、那么强的医疗团队,一旦手术失败,那么以后各地的同行们可能就不会贸然涉足了,那也意味着这类患者将来只能等死了。他怎能不怕风险?

但韦大夫有技术、有情怀、有一群志同道合的同事组成了MDT团队,更重要的是这个患者有情有义的一家人,所有人愿意一起为这个患者冒险,而最终所有人的冒险都得到了回报。这个病例让我越来越觉得,冒险是值得的,这个世界也是鼓励冒险的。

我想起《权力的游戏》里布兰问他父亲:“一个人如果害怕,他还能勇敢吗?”

父亲回答:“人在害怕的时候,才会变得勇敢。”

上一章:我为什... 下一章:垂死两...
网站所有作品均由网友搜集共同更新,仅供读者预览,如果喜欢请购买正版图书!如有侵犯版权,请来信告知,本站立即予以处理。
邮箱:yuedusg@foxmail.com
Copyright@2016-2026 文学吧